دبی پارسی، دیوار فارسی شهر دبی
دبی پارسی، جدیدترین پلتفرم نیازمندیها، استخدام ، بازاریابی و درج آگهی مشاغل و انتشار تبلیغات شما در دبی و کشور امارات متحده عربی ویژه فارسی زبانان
Thursday 29th of January 2026
Dental clinic
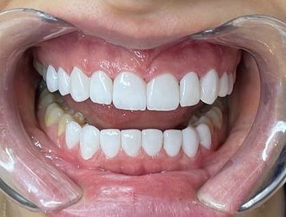
بهترین برندهای کامپوزیت دنیا
ایمپلنت های سوئیسی یک روزه
لمینت های سرامیکی ایمکس
کلیه خدمات درمانی و زیبایی
انجام کامپوزیت زیبایی و لمینیت دو فک در یک جلسه
Tehran
آگهی های مشابه




مهاجرت به دبی
قرعه کشی 1000 درهمی دبی پارسی
هدیه بهمن ماه دبی پارسی، ثبت آگهی رایگان در راستای حمایت از مشاغل خانگی
درج آگهی در دبی